На базе центра коллективного пользования «Приморский океанариум» в лаборатории физиологии морских млекопитающих продолжается работа по составлению «Атласа клеток крови морских млекопитающих». Это пособие по-своему уникально: в нём будут описаны морфологические особенности клеток крови ластоногих и китообразных, обитающих в водах Российской Федерации. Подобные данные на сегодняшний день в научных источниках редки и показаны для ограниченного количества видов.

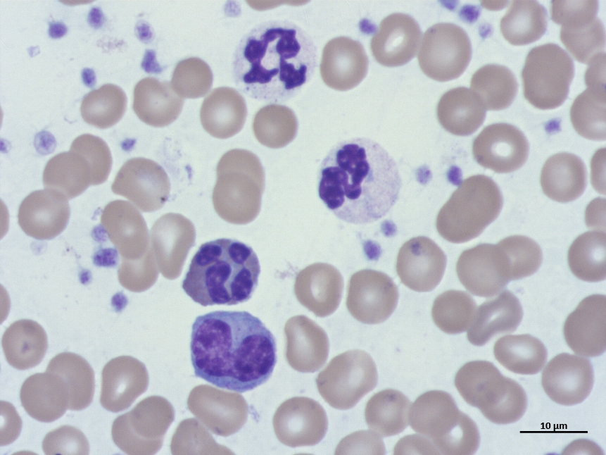
— В первую очередь, нас интересуют фундаментальные основы: встречающиеся типы, внешний вид при окрашивании стандартными цитологическими методами, характер гранул и размеры клеток крови морских млекопитающих, так как данных по этому направлению крайне мало, — рассказала Полина Есипова, научный сотрудник лаборатории физиологии морских млекопитающих, старший специалист Центра коллективного пользования «Приморский океанариум». — Вместе с коллегами мы уже проделали огромную работу — собрали материал от 14 видов морских млекопитающих: 8 из них – это ластоногие, 6 — китообразные. В их числе и животные, содержащиеся в Приморском океанариуме. На данный момент проводим детальный анализ собранного материала по каждому виду животных.

«Атлас клеток крови морских млекопитающих» – это масштабный проект, в котором также участвуют: специалист Приморского океанариума и ННЦМБ ДВО РАН Вероника Ячмень, главный ветеринар Центра океанографии и морской биологии «Москвариум» Ирина Суворова и сотрудники других организаций. Главная задача учёных – создать гематологическую базу данных, содержащую информацию о клетках крови морских млекопитающих. В будущем она поможет ветеринарным врачам, тренерам, и всем, кто работает с морскими животными, понимать специфику клеток крови каждого вида, отличать норму от патологии и в итоге достоверно знать – здорово ли животное, и чем ему можно помочь, но и это ещё не все.
— Наша исследовательская работа будет помогать не только отслеживать состояние здоровья животных, но и обучать молодых специалистов-биологов и всех тех, кто решил связать свою профессиональную деятельность с морскими млекопитающими, — подчеркнула Полина Есипова. — Наш материал действительно уникален в силу его труднодоступности: далеко не у каждого научного учреждения есть возможность получить клетки крови водных млекопитающих. В Приморском океанариуме же система медицинских манипуляций отлажена настолько, что животные добровольно позволяют взять кровь на анализы. Для них это абсолютно рутинная процедура. В ходе фундаментальных исследований мы также изучили различия клеточного состава крови между морскими и наземными животными. Кроме того, изучили влияние диеты и рационов морских млекопитающих на общее состояние их здоровья в условиях открытых и закрытых вольеров, а также проанализировали их пищевые предпочтения.

Научный руководитель лаборатории к.б.н. Андрей Борода уже более 10 лет занимается содержанием и пополнением криобанка образцов тканей и культур клеток морских млекопитающих. В нём содержится биологический материал около 40 особей морских млекопитающих, принадлежащих к 14 видам животных.

В ходе исследовательской работы специалисты лаборатории физиологии морских млекопитающих сделали ряд важных наблюдений, которые будут отражены в научных статьях.
— Мы обнаружили существенные различия в чувствительности клеток морских млекопитающих к отдельным тяжёлым металлам в сравнении с клетками наземных млекопитающих, — рассказал Андрей Борода. Весь клеточный материал был отобран в пределах Приморского океанариума, где были проведены и все научные наблюдения.
Исследования также позволяют специалистам выявлять и систематизировать данные о различиях в клеточном составе крови морских и пресноводных млекопитающих. К примеру, у байкальских нерп повышен гематокрит (количество красных кровяных клеток в крови), в отличие от их морских «родственников» — пятнистых тюленей или ларг. Кроме того, изучение клеток крови морских млекопитающих дает возможность учёным проследить их изменения в ходе эволюционной адаптации. Обнаруженные особенности становятся основой научных статей, которые впоследствии публикуются как в престижных российских переводных журналах, так и в профильных зарубежных.
